TRATAMIENTO DE VÁRICES BASADO EN CIENCIA
Nuestros médicos están disponibles las 24 horas del día, los 7 días de la semana.
Principales Tratamientos
Escleroterapia con espuma
La escleroterapia es un tratamiento ambulatorio, seguro y efectivo para eliminar varices y arañitas vasculares. Consiste en la aplicación de una solución especial directamente en la vena afectada, prov…
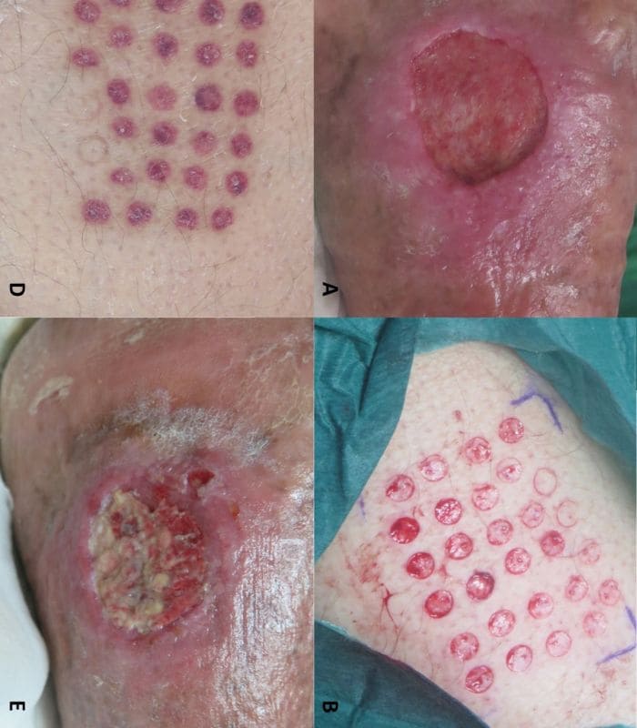
Cura avanzada de heridas
Las úlceras en las piernas asociadas a la enfermedad venosa requieren un tratamiento especializado, orientado no solo a controlar el origen del prob…
Ecografía Doppler
La ecografía Doppler venosa es un examen diagnóstico que permite evaluar el estado de las venas en distintas zonas del cuerpo. En nuestro centro, este estudio se enfoca principa…
Microinjertos de piel
La aplicación de microinjertos de piel es una técnica utilizada en diversas especialidades médicas. En el caso de las úlceras venosas, funciona como un tratamiento complemen…
Plasma rico en plaquetas
El Plasma Rico en Plaquetas (PRP) es un producto biológico de origen autólogo, ya que se obtiene a partir de la propia sangre del paciente. Para su prepara…
Regeneración con células madre
El tratamiento regenerativo con células madre es una terapia avanzada orientada a estimular la reparación natural de los tejidos dañados. Este proce…
Otros servicios
Laser Vascular Diodo
El láser vascular diodo es un tratamiento moderno y mínimamente invasivo que permite eliminar arañitas vasculares y pequeñas venas de forma precisa y segura. Mejora la apariencia de la piel y contribuye al alivio de síntomas circulatorios, con rápida recuperación y excelentes resultados.
Medias de compresión
Las medias de compresión ayudan a mejorar la circulación sanguínea, reducir la hinchazón y aliviar la sensación de pesadez y cansancio en las piernas. Son un complemento fundamental en el tratamiento y prevención de enfermedades venosas, contribuyendo a una mejor recuperación y bienestar diario.
ATENCIÓN A DOMICILIO
Brindamos atención médica profesional en la comodidad de tu hogar, ideal para pacientes que requieren evaluación, tratamiento o seguimiento sin necesidad de trasladarse. Nuestro servicio garantiza un manejo seguro, personalizado y de calidad, enfocado en tu bienestar y recuperación.
Conoce a nuestros doctores
Somos médicos peruanos especializados en el campo de la Flebología y Linfología con post grados realizados en el extranjero.
Dr. Luis Mamani Cari
Especialista cirujano
Médico Flebólogo
Dr. Jacob Condori Luque
Especialista cirujano
Médico Flebólogo
Dr. Midwar Acero Serrano
Especialista cirujano
Médico Flebólogo
Ubicación y Contacto
Jr. San Martín 606 - 2do piso
Juliaca – Perú
+51 932 - 200 - 768
Agenda tu cita (Clic en el icono para enviar un mensaje)
biovena05@gmail.com
